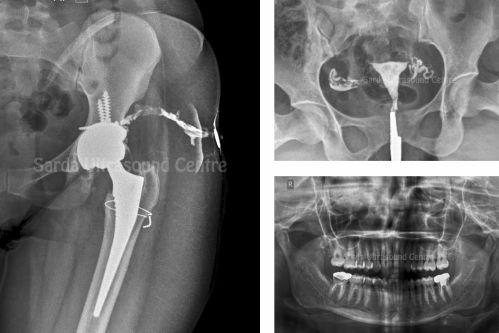
Digital X-Ray and OPG

digital X-ray

We offer digital X-ray services for various diagnostic needs, as well as OPG for dental imaging. All X-ray procedure facilities like HSG, RGU, IVP, Sinogram, barium studies, etc are available at SUC.

Call icon
Whatsapp icon