
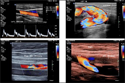
We provide state-of-the-art Doppler imaging to assess blood flow in various organs and detect abnormalities in vascular conditions, including deep vein thrombosis, arterial blockages, and other circulatory issues.
With vast experience in color doppler imaging in all the organ systems, high end machines, improved color flow pick up and advanced technologies like Microflow imaging; we provide most accurate and detailed results for better patient care and treatment planning.